Drugs targeting blood vessels may be candidates for treating Alzheimer’s

March 6, 2013

AD accounts for two-thirds of all cases of dementia.

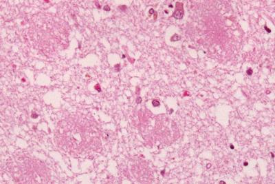
UBC researchers have successfully normalized the production of blood vessels in the brain of mice with Alzheimer’s disease (AD) by immunizing them with amyloid beta, a protein widely associated with the disease.

While AD is typically characterized by a build-up of plaques in the brain, recent research by the UBC team showed a near doubling of blood vessels in the brain of mice and humans with AD.

The new study, published online last week in Scientific Reports, a Nature journal, shows a reduction of brain capillaries in mice immunized with amyloid beta – a phenomenon subsequently corroborated by human clinical data – as well as a reduction of plaque build-up.

“The discovery provides further evidence of the role that an overabundance of brain blood vessels plays in AD, as well as the potential efficacy of amyloid beta as basis for an AD vaccine,” says lead investigator Wilfred Jefferies, a professor in UBC’s Michael Smith Laboratories.

“Now that we know blood vessel growth is a factor in AD, if follows that drugs targeting blood vessels may be good candidates as an AD treatment.”

AD accounts for two-thirds of all cases of dementia. The number of Canadians living with dementia is expected to reach 1.4 million by 2013, according to the Alzheimer’s Society of Canada.

Jefferies is a researcher in UBC’s Michael Smith Laboratories, the Brain Research Centre, and the Centre for Blood Research at UBC. He is also a member of a UBC’s departments of Medical Genetics, Microbiology and Immunology, and Zoology. The study was done in collaboration with researchers at UBC’s Biomedical Research Centre and Mount Sinai, School of Medicine in New York.
 


For more information, contact…

UBC Public Affairs

alex.walls@ubc.ca
  • Biology
  • Microbiology and Immunology

Musqueam First Nation land acknowledegement

We honour xwməθkwəy̓ əm (Musqueam) on whose ancestral, unceded territory UBC Vancouver is situated. UBC Science is committed to building meaningful relationships with Indigenous peoples so we can advance Reconciliation and ensure traditional ways of knowing enrich our teaching and research.

Learn more: Musqueam First Nation

Faculty of Science

Office of the Dean, Earth Sciences Building
2178–2207 Main Mall
Vancouver, BC Canada
V6T 1Z4
UBC Crest The official logo of the University of British Columbia. Urgent Message An exclamation mark in a speech bubble. Arrow An arrow indicating direction. Arrow in Circle An arrow indicating direction. A bookmark An ribbon to indicate a special marker. Calendar A calendar. Caret An arrowhead indicating direction. Time A clock. Chats Two speech clouds. External link An arrow pointing up and to the right. Facebook The logo for the Facebook social media service. A Facemask The medical facemask. Information The letter 'i' in a circle. Instagram The logo for the Instagram social media service. Linkedin The logo for the LinkedIn social media service. Lock, closed A closed padlock. Lock, open An open padlock. Location Pin A map location pin. Mail An envelope. Mask A protective face mask. Menu Three horizontal lines indicating a menu. Minus A minus sign. Money A money bill. Telephone An antique telephone. Plus A plus symbol indicating more or the ability to add. RSS Curved lines indicating information transfer. Search A magnifying glass. Arrow indicating share action A directional arrow. Spotify The logo for the Spotify music streaming service. Twitter The logo for the Twitter social media service. Youtube The logo for the YouTube video sharing service.